外骨症とは、骨組織が異常発達し、反応性に外方へ過剰形成された非腫瘍性疾患である。
口腔領域では遺伝因子、環境因子、炎 症性刺激、咬合力、パラファンクション、咬合機能により歯を介 して顎骨へ伝えられる咀嚼応力、鼻咽腔疾患および栄養障害など が要因として報告されているが、近年では遺伝因子と環境因子の 相互作用により発症すると考えられている。
一般的には女性よ り男性に発症頻度が高く、硬口蓋正中縫合部と下顎小臼歯部舌側 に骨隆起としてみられることが多く、青少年期以降に年齢ととも に増大する傾向にある。
治療に携わった巨大な外骨症の1例について紹介させていただきます。
骨隆起は補綴治療を行うときに問題となることがあるが、義歯製作時に作業用模型上で骨隆起部をリリーフし、骨隆起を回避した設計とすることで対応するのが一般的である。しかしながら、骨隆起が義歯の着脱に影響を及ぼす場合や、骨隆起によって義歯を装着するための空間が確保できない場合には骨隆起形成術を施行する。比較的小さな骨隆起の場合は術後に通法に従って補綴治療を行うことが可能であるが、広範囲にわたって骨形成を行う場合には補綴装置が装着された状態を想定した治療計画を立案する必要がある。
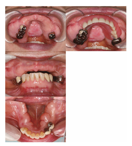
今回、広範囲にわたる骨隆起形成術後の補綴治療の1 例を経験したので報告する。患者は65歳の女性で、2013年に左側下顎歯肉の腫れを自覚して当科を受診した。口腔扁平苔癬と診断されて加療し、2015年まで経過観察を行っていた。2018年、義歯の装着困難を主訴に再受診した。口蓋正中部、上顎臼歯部頬側、下顎舌側に、粘膜表面は正常で、周囲との境界は明瞭な骨様硬の膨隆を認めた。上顎残存歯はすべて著しい挺出が認められ、義歯を装着するために必要な空間が不十分であった。広範囲にわたる顎骨外骨症、義歯装着困難による審美障害と診断した。広範囲にわたる骨隆起形成が必要なことから、外科的処置を行う口腔内科と連携して補綴主導型の治療計画を立案した。
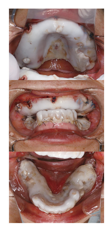
上顎残存歯はすべて抜去とし、十分なデンチャースペースを確保できるように研究用模型上でモデルサージャリーを行い、術後の口腔内を想定した。このモデルサージャリーを手術中の口腔内に再現できるように、アクリル製熱可塑性シートを用いてサージカルガイドを製作し、全身麻酔下において上顎抜歯術および骨隆起形成術を施行した。術後、創部の治癒が良好であることを確認し、上顎に全部床義歯、下顎に部分床義歯を装着した。その後、問題なく義歯を使用している。
<術前の口腔内写真>

<外骨症の石膏模型、咬合関係>

<術後の口腔内を予測したモデルサージェリー>

<サージカルガイドを流用し装着した、シーネ>

<術後の義歯装着写真>

上下顎に広範な発育を呈した外骨症に対して補綴装置を想定したモデルサージャリーを行った1例 : HUSCAP







